Início
Serviços
Corpo Clínico
Especialidades
Galeria
Acordos Médicos
Dicas
Contactos
Especialidades
Conheça as nossas Especialidades
Branqueamento
Ortodontia
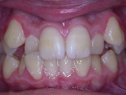
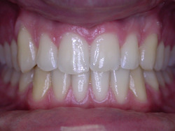
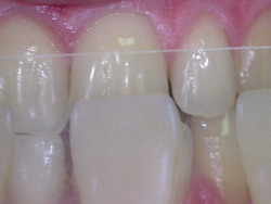
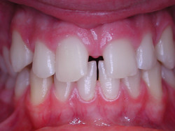
Caso 1
Antes
Depois
Antes
Depois
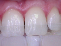
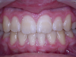
Caso 2
Antes
Depois
Siga-nos nas redes sociais!
Facebook
© 2017 António Carlos Costa - Médico Dentista
Topo